青少年错颌畸形的矫正


随着人们生活水平的提高以及社会的发展进步,颜值时代和口腔健康越来越受到大家的关注。的确,一副整齐、健康的牙齿不但有利于提升颌面部的美观,也更有利于口腔卫生的维护和清洁,降低牙齿龋坏、牙龈炎、牙周病等疾病的发生率。那么,哪些错颌畸形需要矫正,什么时候矫正,让我们共同关注正畸治疗可以健康的口腔健康心理,甚至改变人生!


什么样的牙齿需要做正畸
双颌前突
双颌前突是患者上下颌都向前突出,这种症状比较常见,多为遗传或是后天不良习惯导致。双颌前突患者常表现为开唇露齿,闭唇困难,双颌前突往往影响患者的容貌和自信
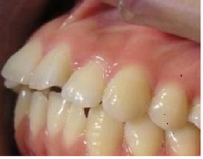
前牙深覆盖
前牙深覆盖就是人们平常所说的龅牙,上前牙相对下牙而言向前伸出过长与突出,前牙深覆盖是临床上比较常见的错颌畸形的一种,需要做牙齿矫正。
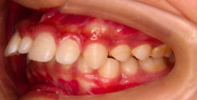
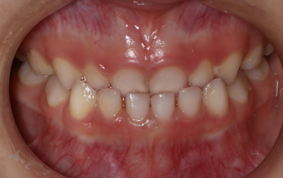
前牙反颌
“地包天”又称前牙反颌,是较为常见的牙齿颌面畸形,前牙反颌的患者外观形象大打折扣,同时咀嚼功能大幅度降低,其表现通俗来讲就是下前牙位于上前牙的外侧。
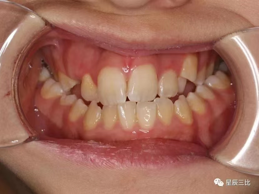
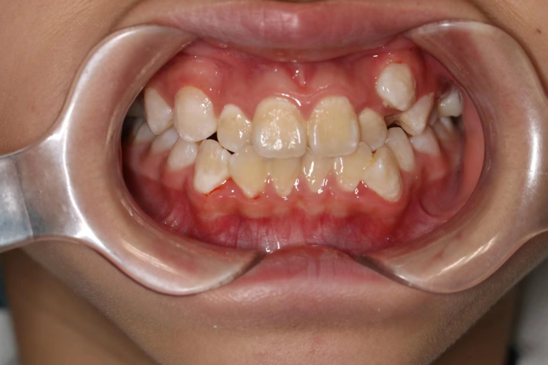
牙列拥挤
患者口腔内牙齿拥挤错位排列不齐,口腔内过于拥挤的牙齿发生牙周病及龋齿的概率比整齐的牙齿高出数倍。牙列拥挤不仅影响口腔问题,美学角度也大打折扣。
错颌畸形有哪些危害?
影响口腔正常功能
开颌,反颌,锁颌等能降低咀嚼功能。前牙稀疏、开颌、深覆盖等影响发音功能。严重下颌后缩能影响正常呼吸,严重下颌前突可造成吞咽异常。
影响全身健康
错颌畸形使咀嚼功能降低,食物咀嚼不充分,增加胃肠负担,长时间会引起消化不良或胃肠疾病,从而影响营养的吸收,有损身体健康。
对口腔健康有害
牙齿拥挤错位,刷牙时不易清洁,使食物残渣长期滞留在牙间隙。牙龈边缘等处,容易发生龋齿、牙结石、牙龈炎等;错颌的牙齿常常咬合不正常,容易引起牙齿和牙周组织的创伤。错颌畸形还可造成下颌运动异常,使面部肌肉容易疲劳,更严重者导致关节长期劳损,出现张闭口时关节发生弹响、疼痛。
影响容貌美观
牙齿不齐、开唇露齿、上颌前突、下颌前突、下颌后缩等引起面部不协调,不但影响面容的美观,而且使病人易产生自卑感,对心理健康有不利影响。
对颌面部发育的影响
在儿童与青少年生长发育过程中,某些错颌畸形会影响颌面软硬组织的正常发育,如果不及时治疗,随着年龄的增长,畸形将越来越严重。比如前牙反颌不及时治疗则下牙弓限制了上颌骨的发育,而下颌由于没有了上下颌弓的协调关系,过度向前发育,形成了颜面1/3的凹陷和下颌前突畸形。
牙齿矫正治疗一般需要多长时间
牙齿矫正一般需要一年半到两年左右,儿童比成人快,拔牙比不拔牙治疗时间要长,复杂畸形比简单的畸形治疗时间长,骨骼畸形比牙性畸形时间长。矫正完成后,保持器佩戴时间一般需要一年半左右但每个患者的个体情况不一样,牙齿正畸治疗的时间也不完全一样 。
1、儿童处在生长发育旺盛期,骨质生长活跃,对外力刺激反应快,成人处在生长发育停滞期,对外力刺激反应慢,成人治疗所需要的时间一般是儿童的二倍左右。
2、矫正者的牙齿畸形程度较轻,同时属于牙源性的牙畸形症状,仅需矫正上牙或下牙,时间短。反之,假如是骨性牙齿畸形,或畸形程度严重,则难度大,耗时久。
3、是否需要拔牙
一些错合畸形的通过采用拔牙的方式来进行牙齿矫正,可以要改善咬合方式、增进咀嚼的功能和牙齿的美观,合理的拔牙矫治对口腔功能并无不利影响,拔牙的患者矫正时间比不需要拔牙的患者时间要长一些。
4、矫正者的合作程度
矫正者的合作直接关系到疗程时间的长短,如果合作情况不好,不愿意按照医生的嘱咐佩戴矫正器或部分时间佩戴矫正器,都会显著拉长矫正的时间和疗程。
正畸最佳年龄
乳牙期为4—5岁,替牙期为(女生8-10岁,男生9—12岁)恒牙期(女生为11—14岁 男生为13—15岁)。
通常来说,矫正的最佳时间是8—20岁,成年人也可以做矫正,但是相对于20岁以下的患者难度大一些,时间也相对会长一些。
乳牙期及替牙期若出现前牙反牙合,牙弓过窄,面部发育不足,不良习惯等情况时同样需要矫正,只是矫正方法较传统矫正技术略有不同
正畸托槽选择
陶瓷托槽
优点:托槽近透明色,美观
缺点:价格较高
自锁托槽(金属/陶瓷)
优点:
缺点:价格较高
隐形托槽
1、最美观,全透明,无需钢丝
2、可自行摘戴,患者舒适性高,最有利于口腔卫生清洁
3、全包绕牙齿,对牙齿的控制性好
4、全程数字化模拟设计,使预测的矫治结果更直观,更精确
缺点:价格较高,总矫治时间相对较长,病例选择有一定局限性

科室简介

彝良县人们医院是一所集医疗、教学、科研、康复、保健、急救为一体的二级甲等综合性医院,彝良县人民医院口腔科现位于门急诊楼二楼,现有口腔医护人员6名,其中主治医师1名,执业医师3名,口腔专科护士1名,医疗组多次到昆明医科大学附属口腔医院,昆明医科大学附属第一人民医院,上海市第一人民医院进修学习,口腔护理获得昆明医科大学附属口腔医院专科护士培训合格资格证,均具有多年的丰富临床经验,专业技术过硬,是一支有良好医疗素养,勇于钻研业务的优秀团队。
科室配备先进卡瓦CBCT、口腔全景机、意大利X线牙片机、牙科综合治疗、韩国X-CUBE种植机、德国进口ERHODENT压膜机、进口根管马达及根管测量仪、热牙胶充填仪器、光固化机、全套洁牙设备等。
口腔科诊疗范围
1、口腔内科:以口腔常见病为主,包括根管治疗、根管钙化桥打通术、热牙胶充填、日本GC树脂美容修复、各类龋洞修补、洁牙、口腔黏膜病等。
2、口腔颌面外科:各类复杂牙微创拔牙、颌面部外伤清创美容缝合、牙槽骨修整手术、颌骨囊肿切除、口腔颌面部软组织囊肿摘除术等。
3、口腔修复:种植牙、铸造金属全冠、烤瓷全冠、全瓷冠、活动义齿、全口义齿、数字化吸附义齿、瓷贴面、嵌体修复等
4、儿牙专病:儿童口腔预防(适龄儿童“六龄齿”窝沟封闭、乳牙拔除)、儿童口腔龋治疗、充填、乳牙早失间隙保持等。
口腔科特色技术项目
1、口腔正畸目前开展的项目有:错颌畸形的系统规范的检查、诊断测量分析,各类错颌畸形的正畸治疗,直丝弓固定自锁托槽矫正、种植支抗钉技术、隐形矫正(隐适美、时代天使);
2:口腔种植牙开展技术项目:口腔种植的检查与评估、种植外科与种植方案设计、种植外科基本程序、GBR引导骨再生术、种植修复程序等;目前我院使用的是士卓曼(Straumann)植体系统,全国知名度名列靠前,引领种植牙新时代。
彝良县人民医院口腔科为防止病患交叉感染,患者使用的口腔器械全部实行一人一用一消毒。在治疗过程中,严格控制交叉感染,“一人一用”,给患者最大的诊疗安全。
欢迎广大居民朋友咨询,了解更多医疗卫生和惠民资讯!

专家简介

唐敏,男,主任医师,医学博士、硕士研究生导师,上海交通大学医学院附属第一人民医院眼科主任医师,上海交通大学医学院附属第一人民医院南院眼科青光眼组主任,兼科主任助理,眼科教研室秘书。眼科学博士,上海交通大学硕士研究生导师上海医学会眼科学分会青光眼学组委员。2022年7月起对口支援彝良县人民医院,支援时间1年半。
主要擅长:疑难青光眼的诊治、复杂白内障手术、以及多种眼外伤、眼表、眼整形手术。
门诊时间:每周二、四上午,眼科专家门诊
朱天文,中共党员,五官口腔科主任,眼科学硕士,分别在昆明,宜宾多地进修学习,主要擅长白内障 ,青光眼、鼻内镜治疗鼻窦炎鼻息肉手术,泪道和声带手术,中西医结合诊治嗓音疾病、眼底病变,以及对儿童青少年近视弱视等有深入研究。
门诊时间:每周一全天,二四上午,眼耳鼻喉普通门诊
李瑞,主管护师,五官口腔科副护士长兼口腔科专科护士, 2006年参加工作,先后在内、外科从事临床护理工作,2018年调入口腔科,于2022年参加云南省口腔医学会 云南省口腔疾病诊疗质量控制中心主办 昆明医科大学附属口腔医院承办的“云南省口腔专科护士”培训,经考核合格,获得证书。
李治琴,口腔医学系本科学历,主治医师,2008年于彝良县人民医院口腔科工作至今,先后于昆明医学院附属口腔医院进修学习;擅长儿童及成人牙病诊断治疗,前牙树脂美容修复术,烤瓷冠修复术、全口及局部义齿修复术,各类复杂牙微创拔牙,颌面部清创整形术、颌骨囊肿摘除术、黏液腺囊肿摘除术等。
门诊时间:周二、周三、周四、周五、周六
杨春波,大学本科,住院医师,中共党员,2014年在昆明医科大学附属口腔医院正畸科进修学习一年;2018年在昆明医科大学附属第一医院口腔颌面外科进修学习半年,2022年10月至2023年3月在上海市第一人民医院口腔科进修学习口腔种植、青少年专病错颌畸形;主要擅长青少年及成人牙列拥挤、深覆牙合、深覆盖、地包天、下颌后缩等各类牙颌面畸形的正畸治疗,隐形矫正,口腔种植牙修复、各类复杂牙列缺损活动义齿修复、数字化吸附义齿修复、固定义齿美容修复。
门诊时间:周一、周二、周三、周五、周日
余睿,大学本科,住院医师,2023年3月选派到昆明医科大学附属口腔医院修复科进修学习;擅长于:全口义齿、全瓷冠、烤瓷金属冠、瓷贴面、嵌体修复,及各类前牙美容修复,颞下颌关节紊乱疾病诊治,牙体牙髓病规范化诊断与治疗。
迟玉庭,本科,2019年毕业于昆明医科大学海源医学院口腔医学系;擅长于各类牙体牙髓病的诊断与治疗,牙周疾病的系统规范的诊断及治疗,各类复杂微创拔牙,颌面部外伤清创美容缝合,各类囊肿手术摘除,金属冠、烤瓷金属冠、全瓷冠修复,各类活动义齿修复,全口义修复。
郭友伟,大学专科,五官口腔科专职口腔技术师,擅长于各类活动义齿制作,金属冠、金属烤瓷冠、全瓷冠的美学设计,各类活动矫治器及间隙保持器的制作。
欢迎关注“彝良县人民医院微信公众号”,方便您就医(提供预约挂号、核酸检测缴费等)。
供稿:杨春波 部分图片来源于网络
编辑:李 菲
审核:何易刚

