彝良县医共体奎香分院首例“急性心梗静脉溶栓” 从“溶”应对

2023年8月2日,彝良县医共体奎香分院一名78岁患者因“腹痛、恶心、呕吐2日”前来就诊,经内科主任李子进医生检查后,发现患者心电图异常,考虑为急性下壁心肌梗死,随即予心梗一包药口服、抗凝、开通静脉及完善快速心肌酶谱等一系列辅检,并立即将患者情况上传至彝良县医共体总医院胸痛单元建设微信群请示指导治疗。


医共体奎香分院李子进主任根据患者病史及查体、辅助检查等综合分析判断,当前诊断“急性心肌梗死”明确。患者急性起病,病情进展快,预后差,预计到达彝良县医共体总院进行PCI时间大于120分钟,易延误病情,另该患者无绝对溶栓禁忌症,静脉溶栓治疗是该患者最佳选择。由内科主任李子进带头,在值班医生向金医师的协助下,做好溶栓准备并与患者家属充分沟通,在征得患者同意并签署知情同意书后,医院立即开通绿色通道开展溶栓治疗,采用最新型第三代溶栓药物对患者进行了静脉溶栓治疗。
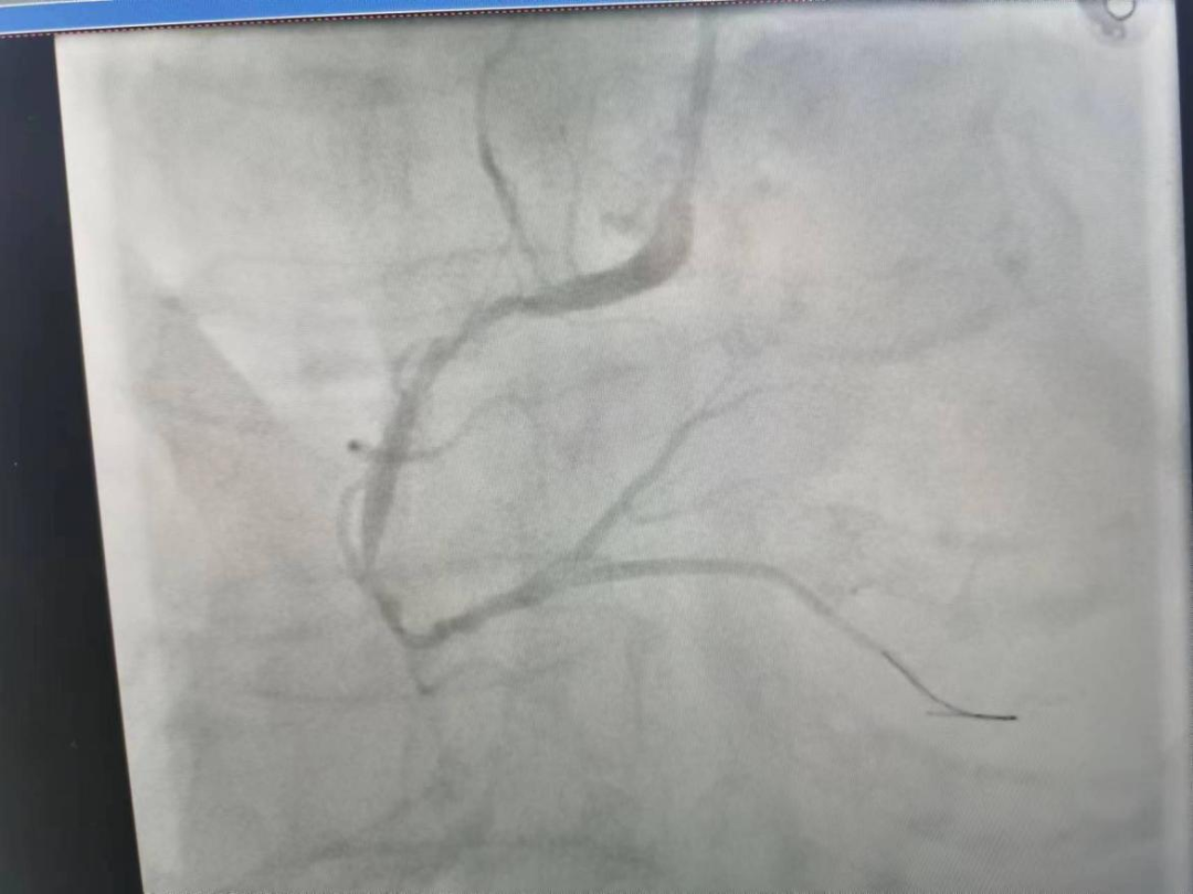
经过积极治疗后患者疼痛明显缓解,心电图抬高的ST段回落,患者各项生命体征平稳,于是联系了医共体总医院心血管内科,将患者转至彝良县医共体总医院进一步做造影及介入治疗。
医共体总医院心血管内科治疗中发现患者后降支闭塞,予球囊扩张后返回CCU,择期处理其他血管病变,现患者病情平稳。
静脉溶栓是STEMI患者有效的治疗手段,一方面可以开通血管,让冠脉尽快恢复血流供应,挽救心肌细胞,同时也可能出现出血等并发症。因此需严格把握溶栓治疗的时间窗口期、适应症及禁忌症,才能最大程度的让患者收益。
彝良县医共体奎香分院首例“急性心梗急诊科静脉溶栓”的成功开展,是胸痛救治单元和医共体建设的重要成效体现,标志着医共体奎香分院对胸痛患者处置能力的提升。
欢迎关注“彝良县人民医院微信公众号”,方便您就医(提供预约挂号、缴费、检验检查报告查询、住院清单查询等服务)。
供稿:张胜 图/向金、余庆湖
编辑:李 菲
审核:龙 海

