【新技术、新项目】彝良县人民医院放射科成功开展首例下腔静脉CTV+三维重建检查

近日,我院放射科成功开展并完成首例下腔静脉CTV检查及三维后处理新项目,为临床相关科室合理用药,术前诊断及后续介入治疗的成功完成奠定了坚实的基础,起到了诊疗一体化中真正的“保驾护航”作用。

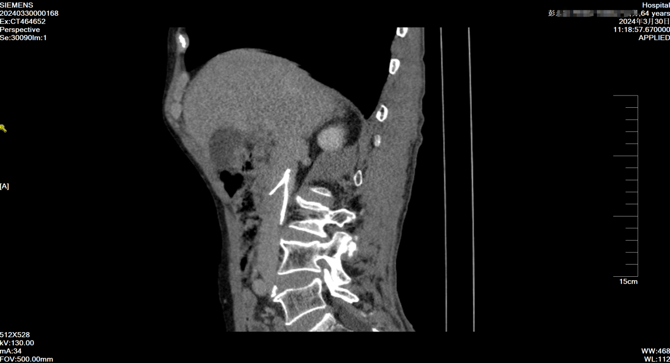
患者彭某某到我院就诊,完善相关检查后诊断为:急性肺栓塞、下肢静脉血栓形成,于2023年12月19日在局麻下行下腔静脉滤器置入术,术后患者好转出院,目前,下腔静脉滤器置入术后3月余,前来我院就诊复查下腔静脉情况,于是联系放射科上海援滇专家唐纳(放射科执行主任),在放射科成功完成了下腔静脉CTV+三维重建影像检查,下腔静脉CTV+三维重建影像检查能重点关注下腔静脉滤器有无血栓形成及滤器位置、形态情况。为临床医师提供了精准而直观的影像资料及治疗方案。最终临床相关科室安全成功完成下腔静脉滤器取出术,无任何并发症。



好消息!为满足患者需求
彝良县人民医院增设放射影像专家门诊

唐 纳
中共党员 医学硕士
本科毕业于上海交通大学医学院临床医学专业,现任上海交通大学医学院附属第一人民医院放射科主治医师,兼磁波刀主刀医师及放射科部门工会主席。获上海市卫计委考核颁发的“放射科住院医师规范化培训合格证书”及”放射科专科医师规范化培训合格证书”;上海交通大学医学院及上海市第一人民医院考核颁发的“住院医师规范化培训师资培训证书”。获2017年“上海市科学技术奖一等奖”(完成人之一)。执业类别:医学影像及放射治疗专业。
学会职务:上海市中西医结合学会医学影像专业委员会介入学组组员;中国医学装备协会磁共振应用专业委员会微创治疗学组组员;全国磁波刀高阶培训医师。
出诊时间:每周二、三、五上午08:00--11:30
坐诊地点:彝良县人民医院医技楼一楼放射科
欢迎关注“彝良县人民医院微信公众号”,方便您就医(提供预约挂号、缴费、检验检查报告查询、住院清单查询等服务)。
供稿:余瑞相 唐纳
排版:李 菲
审核:龙 海

