【病例报道】彝良县人民医院通过口腔CT三维成像矫正牙齿畸形

近日,我院口腔科及放射科联合开展并完成了首例口腔CT三维成像,为更多的患者带来全面细致的治疗体验,提供更先进、更高效的口腔诊疗服务,助力提升我院口腔科的整体实力和诊疗水平。
一位10岁的患者来到我院口腔科就诊,患者妈妈说患者近一年发现上颌前牙萌出后牙列不齐,听闻我院有上海帮扶专家在,特意带孩子前来就诊。完善相关检查后,诊断为:上颌骨发育不足、前牙反颌、21阻生埋伏牙、12畸形牙异位萌出,需要外科手术联合固定矫治器+活动颌垫矫治器。

矫正前

矫正后

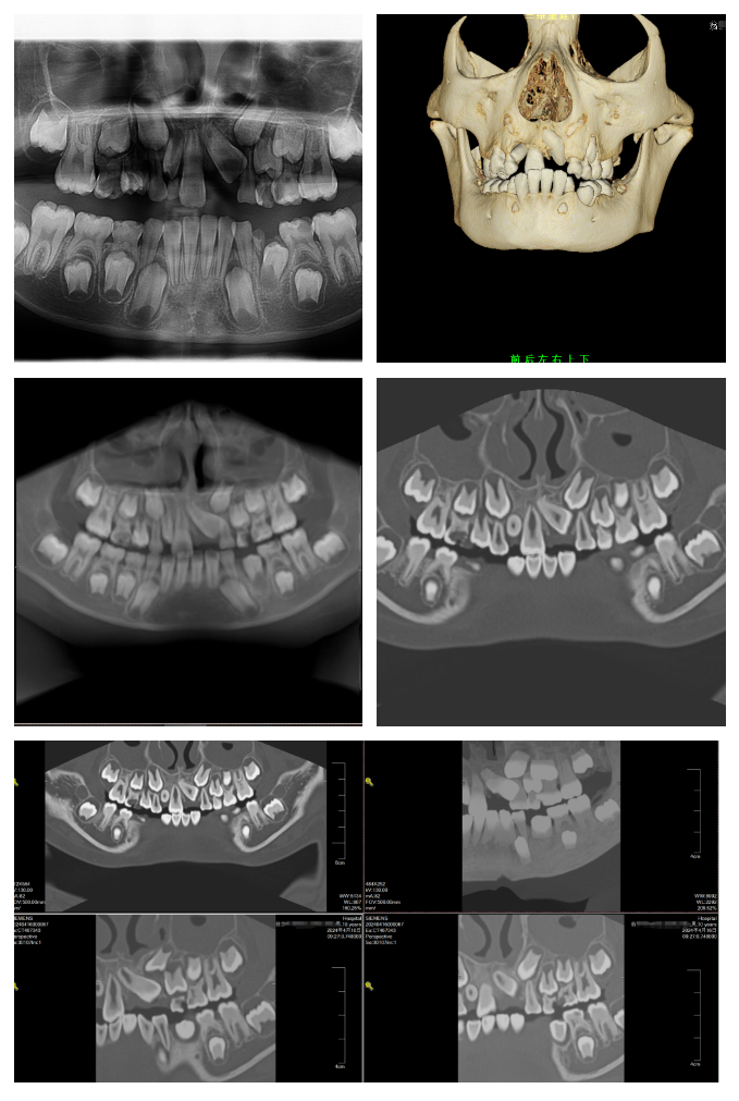
患者三维成像

唐纳及段阿竹两位专家会诊工作照
上海援滇专家段阿竹据介绍:口腔内在发育过程中,由于收到不同的生长阻力,影响到上颌前牙的萌出,临床上,上颌前牙埋伏阻生导致错颌畸形较为常见。对患者的牙弓形态、咬合力以及面型发育均造成影响。可以通过外科手段对上颌埋伏阻生牙进行定位牵引治疗,通过多种矫治器联合应用,改善牙齿拥挤、错位等情况,整体提升牙齿功能和面部美观。而口腔CT三维重建成像可以从三维角度对组织情况进行反映,发现口腔X光片的投照角度不能发现的、或者更细微的病变;它的三维重建效果能够对骨组织情况、下颌关节情况进行准确评价,协助医生进行手术前方案设计,以及术后科学评价。
口腔科联合放射科一起为患者解决了矫正牙齿畸形的难题,让患者省去了去上级医院就诊时间、精力和费用。该项目为彝良县人民医院的诊疗一体化和多学科交叉合作新模式起到了良好的示范效应,更为我们努力践行循证医学的发展注入了强大的信心与动力。最终为“沪滇医疗帮扶”及彝良乃至周边各县的百姓健康卫生事业作出更大的贡献!
唐 纳
中共党员 医学硕士
本科毕业于上海交通大学医学院临床医学专业,现任上海交通大学医学院附属第一人民医院放射科主治医师,兼磁波刀主刀医师及放射科部门工会主席。获上海市卫计委考核颁发的“放射科住院医师规范化培训合格证书”及”放射科专科医师规范化培训合格证书”;上海交通大学医学院及上海市第一人民医院考核颁发的“住院医师规范化培训师资培训证书”。获2017年“上海市科学技术奖一等奖”(完成人之一)。执业类别:医学影像及放射治疗专业。
学会职务:上海市中西医结合学会医学影像专业委员会介入学组组员;中国医学装备协会磁共振应用专业委员会微创治疗学组组员;全国磁波刀高阶培训医师。
出诊时间:每周二、三、五上午08:00--11:30
坐诊地点:彝良县人民医院医技楼一楼放射科

段阿竹 口腔科主治医师
上海市儿童医院口腔科专家。
专长:主攻儿童口腔疾病的诊治,乳、替牙期错颌畸形的早期干预和青少年口腔错合畸形的矫正。
擅长儿童口腔舒适化治疗、全麻下儿童颌面外科小手术、口腔疾病的综合治疗。
社会任职:民建会员、中华口腔医学会儿童口腔医学专委会会员、中华口腔医学会正畸(COS)专委会会员、中华口腔医学会镇静镇痛委员会会员、Invisalign隐形矫正认证医生。
出诊时间:每周二、四上午 08:00--11:30
坐诊地点:彝良县人民医院门诊楼二楼口腔科
欢迎关注“彝良县人民医院微信公众号”,方便您就医(提供预约挂号、缴费、检验检查报告查询、住院清单查询等服务)。

