新突破:我院麻醉疼痛诊疗中心成功开展首例双膝关节射频术

近日,我院麻醉疼痛诊疗中心成功完成了首例双侧膝关节热凝射频神经毁损术,解决了患者双膝关节严重疼痛的问题。
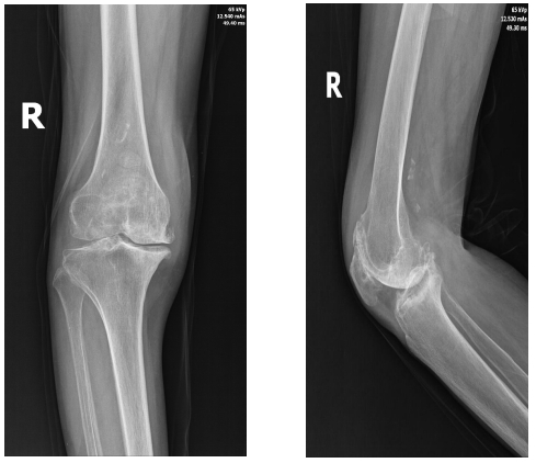
患者82岁,因双膝关节疼痛20余年到我院就诊,左膝疼痛评分7分,右膝疼痛评分8分,入院后查体:O型腿,双侧膝关节屈伸活动受限,压痛明显,以双侧膝关节内下为甚,又以右侧为甚,DR检查双侧膝关节骨性关节炎。

由于患者年龄比较大,身体条件差,拒绝行全膝关节置换术,神经阻滞治疗虽然有效但持续时间不长,再加上患者行动不便,路程遥远,常来回跑也不方便。为解决患者的长期痛苦减轻疼痛,经麻醉疼痛诊疗中心讨论后,目前患者的最佳治疗方案只有行双膝关节射频热凝神经毁损术才能长久的缓解患者的疼痛。

与患者及家属沟通后,其一致同意行双膝关节射频热凝神经毁损术。最终,疼痛麻醉诊疗中心在B超引导下,精准地行双侧膝上内、膝上外、膝下内神经射频热凝毁损术,手术非常成功,术后患者左膝关节疼痛消失,疼痛明显减轻。

此技术的开展填补了我院在射频消融介入治疗方面的空白,标志着我院的疼痛技术再上新台阶。下一步我中心将颈椎、胸椎、腰椎、髋关节疼痛等的射频微创治疗术,造福区域内疼痛疾病患友。
麻醉疼痛中心
彝良县人民医院麻醉疼痛中心是医院建设的五大中心之一,目前已通过省级评审。麻醉疼痛中心长期与北京大学第三医院,上海市第六人民医院,昆明医科大学第一附属医院,云南省第二人民医院,昭通市人民医院等省内外多家医院建立了长期合作关系。
麻醉疼痛中心拥有先进的索诺声EGEII超声一台,北琪控温热凝器一台,低温等离子体多功能手术系统一台。常规开展项目包括颈椎、胸椎、腰椎神经根、背内侧支、周围神经、三叉神经、带状疱疹后遗症、星状神经节、深部植物神经射频热凝术及神经阻滞治疗等诊疗技术。
麻醉疼痛中心热线:0870-5120393/5127455。
END
欢迎关注“彝良县人民医院微信公众号”,方便您就医(提供预约挂号、缴费、检验检查报告查询、住院清单查询等服务)。
供稿:左太熊
排版:李 菲
审核:龙 海

