腰椎间盘“炸”了?别慌!彝良骨科“锁孔”手术春节不停摆


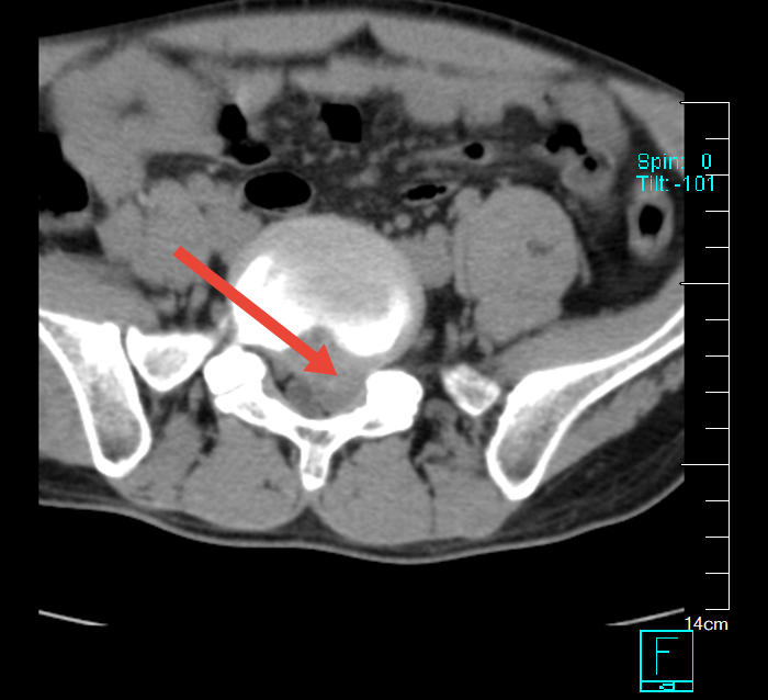
“腰杆像断了,腿像过电一样麻”——这是34岁舒先生近20天来的真实感受。五年来反复发作的腰腿痛,在春节前突然“升级”,左下肢放射痛让他几乎无法站立。影像检查结果令人揪心:腰椎间盘不止突出,更疑似“脱出”,神经根受压十分严重。

术前

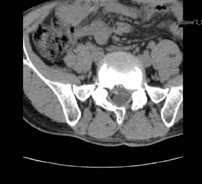
术后

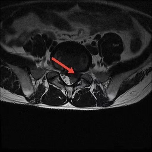
术前

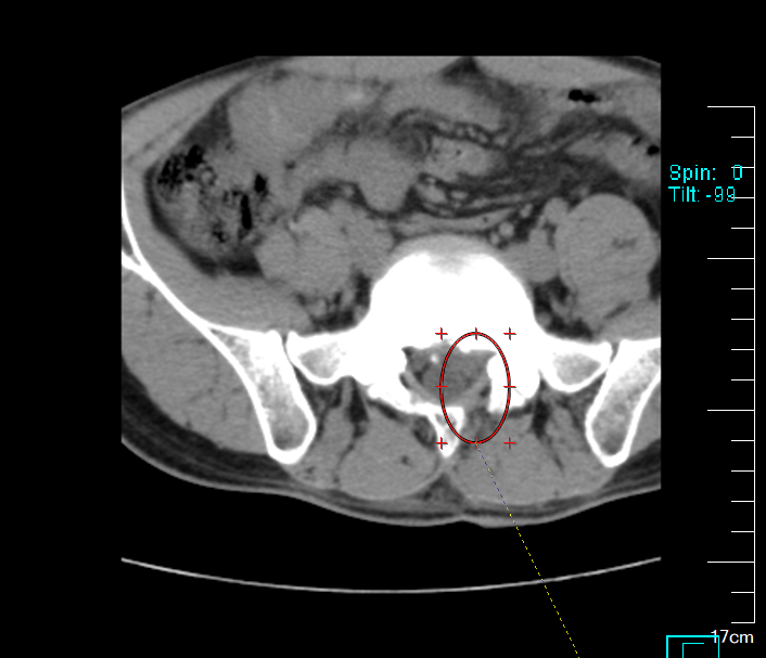
术后
“再痛下去,年都没法过了”,舒先生的话语,道出了众多腰椎急症患者的春节焦虑。为帮助患者摆脱病痛、安心过年,我院骨科团队迅速制定诊疗方案,紧急实施微创手术。

术前

术后
2月7日,我院骨科手术室依旧灯火通明、争分夺秒。手术采用局部麻醉,也摒弃了传统开放手术的长切口,仅在患者腰部打开约1厘米的微小“锁孔”。邱洪九主任团队利用这枚小小的通道,置入脊柱内镜,通过脊柱内镜,清晰定位并精准摘除压迫神经根的“肇事”髓核组织,顺利解除神经压迫、松解受压神经。




整场手术历时仅100分钟,出血量约10毫升,患者全程保持清醒,术后当即感觉腿部麻木、疼痛感明显缓解。该术式为我院成熟开展的后路经椎板间入路腰椎间盘髓核摘除术(PEID),也被形象地称为“锁孔手术”,相较于传统手术,具有创伤小、恢复快、住院时间短等显著优势,特别适用于年轻、急性发作的腰椎间盘突出症患者。
“春节前后,反而是腰椎病发作的一个小高峰。”骨科副主任张永富解释说,“久坐赶工、家务劳累、长途乘车等都容易诱发。我们保持‘手术不停摆、救治不打烊’,全力保障急重症患者得到及时救治,不让任何一位患者在疼痛中度过春节。”
术后
术后次日,舒先生已能戴腰围下床缓慢行走,左下肢放射痛基本消失。“本以为今年要在床上躺过去了,没想到还能站着过年。”他的笑容,成为这个春节前最生动的康复注脚。
2月9日出院
下一步,我院骨科将持续精进微创诊疗技术,优化诊疗服务,以更精准、更微创、更高效的医疗技术,守护广大群众的脊柱健康,为百姓平安过年、健康生活保驾护航。
一孔一镜,托起脊梁。
春节守候,不止是仪式,更是医者随时在线的承诺。
彝良县人民医院骨科,用最小创伤,守护你最挺直的年。
守健康,护脊梁——我们一直在路上。
欢迎关注“彝良县人民医院微信公众号”,方便您就医(提供预约挂号、缴费、检验检查报告查询、住院清单查询等服务)。 供稿:张永富 编辑:李 菲 审核:龙 海

